Skip to main content

What is fibular hemimelia?

Fibular hemimelia occurs when a child is born with a short or missing fibula (the bone on the outside of the lower leg), but the condition affects the entire leg. The upper and lower leg can be affected, as well as the foot and ankle. Ligaments can be missing throughout the leg, making joints unstable. Fibular hemimelia usually affects one leg, but can affect both.

Because fibular hemimelia often affects the entire leg, some doctors think that another more suitable name for the condition is “congenital fibular deficiency.”

Fibular hemimelia is the most common congenital limb deficiency, happening in about 1 in 50,000 births.

  • Congenital: a condition that is present at birth. This is important, because congenital arm or leg differences may be treated differently than those that are acquired.
  • Acquired: an acquired limb difference happens after birth, like after an injury or an infection.
  • Tibia: the main bone in the lower leg, which is often shorter and bowed in children who have fibular hemimelia.
  • Fibula: the smaller bone in the lower leg. Fibular hemimelia is named after this bone, which is often small or absent. Even though a fibula may not appear on an x-ray, the fibula may be present as a small piece of cartilage in the leg.
  • Femur: the thigh bone, which is often short or shaped differently in fibular hemimelia.
  • Limb lengthening: treatment to make a bone longer with surgery.
  • Growth slowing: also called epiphysiodesis, this procedure is intended to slow a growth plate in the longer leg to let the shorter leg catch up.

 

Currently, there is no known genetic cause of fibular hemimelia. During the fifth to eighth weeks in a mother’s womb, when arms and legs develop, the baby’s leg develops smaller.

Some children will have one leg that is shorter than the other. This means they may have trouble standing or walking. In certain cases, their ankle and foot might look different because the joint cannot form as it should. It’s also possible that a child's knee and/or lower leg bend inward or bow outward. They also may be missing some toes.

Not all symptoms are obvious. A baby with fibular hemimelia may have a hip joint that is too shallow or some ligaments that hold the knee together could be weak or missing.

How is fibular hemimelia diagnosed?

Usually, fibular hemimelia can be identified on a prenatal ultrasound, but doctors can diagnose fibular hemimelia at any age. If a mother does not get an ultrasound while pregnant, fibular hemimelia is noticeable at birth. It might be necessary to perform an x-ray or MRI to get a closer look at your child’s bones, joints, and ligaments.

Fibular hemimelia can also be identified in childhood by a doctor’s exam and x-rays. The most common features are:

  • A short limb.
  • Anterior-medial bowing of the tibia.
  • A dimple on the shin.
  • Missing one or more metatarsals in the foot (a foot with 2, 3, or 4 toes).

How is fibular hemimelia treated?

At Gillette, our team of experts work together as a team to find the best possible solution. This often means working with physical therapists and an orthopedic specialist.

Treatment depends on the child’s age, the length of the limb, and the health of the foot and ankle. Before and during treatment, we’ll evaluate your child’s limb shape and function by examination and x-rays.

Children with mild limb length difference may need very little treatment. Other children who have a large limb length difference may need help stabilizing their joints. 

When the foot and ankle are expected to work well for the child throughout life, we will often recommend lengthening of the shorter limb during childhood or adolescence. Depending on the expected length difference when the child is fully grown, this may require more than one lengthening procedure.

When limbs have a very tight or turned foot and ankle, in which the foot may not work well for walking or function, then a prosthetic may be recommended.

Small discrepancies can be treated with growth slowing on the longer side, near the end of growth.

  • Limb Lengthening: Limb lengthening is performed by distraction osteogenesis or making new bone while slowly pulling bone ends apart. Today, most of this treatment is done with implants that stay entirely within the body, while the patient and family lengthen the internal device with a controller outside their body.
    • Sometimes, it is necessary to perform limb lengthening or bone straightening with external fixators. These devices include metallic rings which have pins and wires that travel through the skin and attach to the bone.
  • Growth slowing: Also called “epiphysiodesis”, this treatment involves a small incision over 1 or 2 growth plates in the leg during the last few years of a child’s growth. This treatment slows down the longer leg’s growth to allow the shorter leg to catch up, and is used for smaller discrepancies (2-5 cm, generally).
  • Shoe lifts: Both small and large discrepancies can be treated with small lifts inside the shoe (<1.5cm), or larger lifts outside the shoe built into the shoe’s sole. Usually, this is a temporary treatment while waiting for limb equalization treatment when older.
  • Guided growth: Sometimes children with fibular hemimelia will develop a bend in their knee, which can be treated with a small plate and screws to manipulate the growth plate to grow straight. This is also called “hemiepiphysiodesis.”
  • Osteotomy: Some bends in the bone, like the tibia, may need to be treated with bone cutting surgery, or “osteotomy.” After osteotomy, the bones are held with metallic implants until they heal in the new position.
Illustrates a fibular hemimelia patient seen at Gillette Children's

Above: This is a toddler with more severe Fibular hemimelia, with no fibula visible on x-rays. Right: The toddler's x-rays show the foot has 4 rays, the tibia bone is bent, and the foot and ankle are turned to the side.

Illustrates a lengthening procedure at Gillette Children's

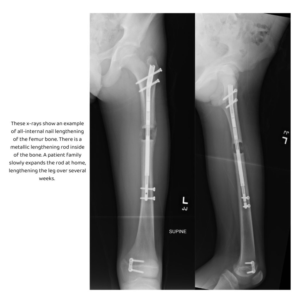
These x-rays show an example of all-internal nail lengthening of the femur bone. There is a metallic lengthening rod inside of the bone. A patient family slowly expands the rod at home, lengthening the leg over several weeks.

Illustrates a fibular hemimelia patient seen at Gillette Children's

Left: This x-ray shows a typically developing child with equal leg lengths. Right: This x-ray shows a teenager with right Fibular hemimelia. The right leg is smaller and shorter.

Health Library

Find education related to your condition, procedure, care at home, and more. 

Search Health Library

Research

Gillette Research aims to improve treatment options for children who have disabilities.

Explore Gillette Research

News

From innovations to innovators, Gillette Children’s shares our news as leaders in specialty care and research.

News Releases